Common Problems

Rocket Expander

Class III problems are also primarily genetic in origin. In this instance, the lower jaw and teeth are positioned in front of the upper jaw and teeth. The lower jaw may appear to be excessively large, but in many cases the lack of upper jaw development is at fault. Several treatment options are available to correct a Class III problem.

Crossbite

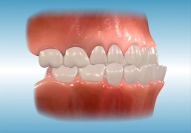
A posterior crossbite will usually result from a narrow upper jaw or abnormally wide lower jaw. A narrow upper jaw will often force a patient to move the lower jaw forward or to the side when closing into a stable bite. When closed into this accommodating position, the lower teeth are located outside the upper teeth.

A posterior crossbite can involve one side of the jaw, known as a unilateral crossbite, or both sides of the jaw, known as a bilateral crossbite.

Bite Plate

Crowding of the teeth is probably the most common orthodontic problem. Although many factors contribute to dental crowding, this problem typically stems from a discrepancy between the space in each jaw and the size of the teeth.

Crowding is often one of several orthodontic problems. Crowding can be the cause or result of other problems, such as impacted teeth, retained teeth or teeth that do not naturally fall out. Crossbite of the front or rear teeth can also cause the teeth to become crowded.

Deep Bite

A deep bite is excessive vertical overlapping of the front teeth and is generally found in association with a discrepancy between the length of the upper and lower jaws. It usually results in excessive eruption of the upper or lower incisors, or both. The lower front teeth often bite into the roof of the mouth.

Face Mask

Also known as a gummy smile, this orthodontic problem gives the appearance of excessive exposed gums on the upper arch. There are several treatment options for this problem. It may simply involve lifting the upper front teeth using braces to help reduce the excessive gum display. In more severe cases with a jaw discrepancy, surgery may be necessary to lift the upper jaw to help reduce the excessive exposure of the upper gum tissue.

Frog Appliance

An openbite can occur with the front teeth, known as an anterior openbite or with the back teeth, referred to as a posterior openbite. An anterior openbite is the lack of vertical overlap of the front teeth and can usually be traced to jaw disharmony or habits such as thumb sucking or the thrusting of the tongue against the front teeth. A posterior openbite is a problem in which the back teeth do not meet vertically, which keeps the jaw from functioning properly.

Gosh Appliance

Pseudo Class III, particularly in younger patients, is a function of habit rather than hereditary factors. A misaligned bite may cause the lower teeth to bite forward of the upper teeth, giving the appearance of a Class III. Interceptive treatment is imperative to prevent abnormal growth of both the upper and lower jaws.

Spacing Issue

Spaces between teeth are another common problem associated with the need for orthodontic care. Like crowding, spacing may be related to a tooth-to-jaw size disharmony. Spacing may occur between the front and the back teeth. Tooth size discrepancies, such as smaller teeth or abnormally shaped teeth, or tongue thrust habits can also create abnormal spacing.

About Our Practice

Learn More

Featured Services

View Services

Real Patient Reviews

334

Total Reviews

5

Average Rating

star-full star-full star-full star-full star-full
Read Our Reviews

Start Your Orthodontic Journey Today

Schedule a Consultation
Call Us Button

Call Us

Book Now Button

Book Now